Общество

Последние новости

За возвращение домой Норвегия выплатит украинцам 1500 евро

За возвращение домой Норвегия выплатит украинцам 1500 евро
Норвегия будет выплачивать 1,5 тысячи евро украинцам, которые хотят вернуться домой. Об этом сообщается на сайте правительства страны. Выплата доступна для граждан Украины, у которых есть действующий вид на жительство в Норвегии или статус беженца. Для ее получения необходимо подать уведомление о
...
Читать далее
В Украине, 24 октября 2023 года, состоится плановый выпуск новых банкнот номиналом 20 грн, которые
19.10.2023, 19:53
В Украине открывается еще одна возможность для выезда мужчин призывного возраста за границу.
18.10.2023, 16:42
В Чехии бесплатное жилье от государства предоставляется через Краевые центры помощи Украине
17.10.2023, 21:13
Рада утвердила соответствующий документ, однако он считается недействительным без подписи
16.10.2023, 20:57
В Украине начинает активно холодать, а до старта отопительного сезона осталось несколько дней.
15.10.2023, 19:11
Украинские банки и обменники, если будут принимать поврежденные долларовые купюры на обмен
14.10.2023, 18:44
Украинки могут получить бесплатные ноутбуки из благотворительного фонда "Женские возможности".
13.10.2023, 17:54
Массированные обстрелы Украины могут привести к отключениям электроэнергии. Об этом 12 октября
12.10.2023, 18:38
Куріння тютюну у вигляді самокруток - давня традиція, знову набирає популярність. На відміну від
11.10.2023, 23:13
Согласно данным Налоговой, подавляющее большинство специальных запросов о получении налоговой
10.10.2023, 10:34
Среди многочисленных заведений общественного питания города Кременчуг выделяется компания IKURA.
09.10.2023, 11:20
В Верховной Раде хотят ввести уголовную ответственность за «гулянки» в комендантский час. В
08.10.2023, 16:05
В Минюсте сообщили, что ВПЛ теперь могут получить юридические услуги абсолютно бесплатно. Для того
07.10.2023, 13:36
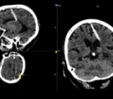
Пожилая женщина с Дальнего Востока России прожила 80 лет с трехсантиметровой иглой в мозгу. Это
05.10.2023, 17:19
Представитель польского правительства Пётр Мюллер заявил, что Польша может отменить соцвыплаты для
04.10.2023, 16:39
Идеальное освещение – это ключ к созданию комфортной атмосферы внутри помещения. Без него человек
03.10.2023, 15:15
В Верховной Раде Украины предлагают разрешить людям находиться в армии во время военного положения
02.10.2023, 16:30
Первая в Украине подземная школа, будет построена в Харькове. Об этом на своей странице в
01.10.2023, 17:08
Следующая зима в Украине будет морозной и снеговой, в отличие от прошлой, которая была удивительно
30.09.2023, 16:53